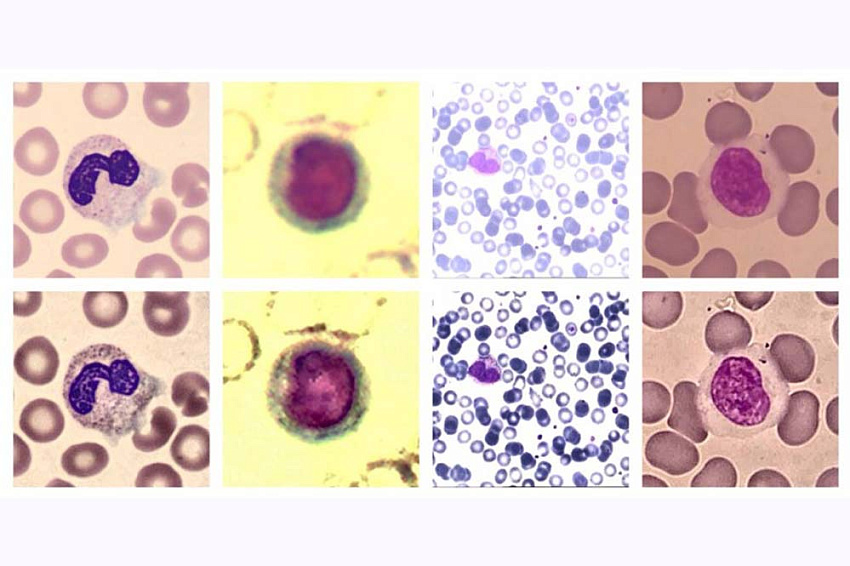
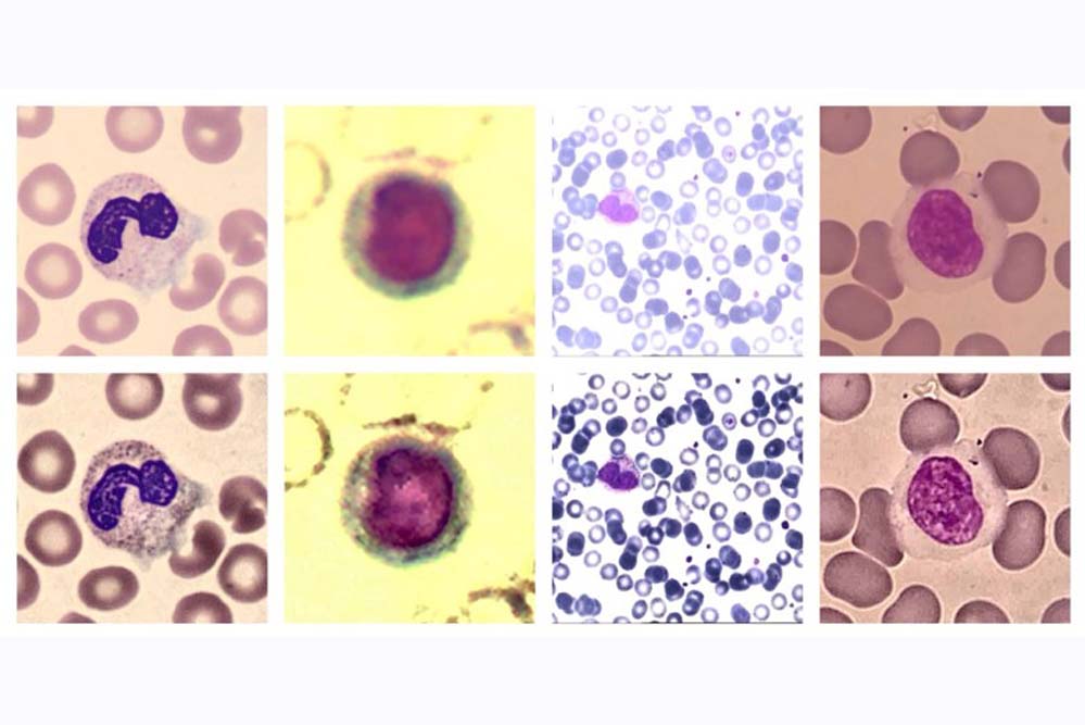
Учёные НИУ «БелГУ» разработали инновационную программу для распознавания и классификации лейкоцитов на фотографиях клеток крови

Актуально